
A new study has found that people suffering from long COVID may experience Alzheimer’s-like symptoms.
The NHS defines long COVID, sometimes called post-COVID syndrome, as happening when the symptoms of COVID-19 last longer than 12 weeks.
While symptoms of long COVID can be different for everyone, the most common ones include: feeling extremely tired (fatigue), shortness of breath, joint pain, aching muscles and problems with your memory and concentration, also called brain fog.
Alzheimer's disease, however, is the most common cause of dementia in the UK. Dementia, which is the name for a group of symptoms associated with an ongoing decline in brain functioning, can affect memory, thinking skills and other mental abilities.
Advert
New findings from New York University Langone Health appear to suggest that changes in the brain caused by long COVID may lead to long-term fatigue, brain fog, dizziness, loss of smell or taste, depression and other symptoms.
Senior study author Dr Yulin Ge, a professor in the Department of Radiology at NYU Grossman School of Medicine, explained in an NYU Langone statement: "Our work suggests that long-term immune reactions caused in some cases after an initial COVID infection may come with swelling that damages a critical brain barrier in the choroid plexus."

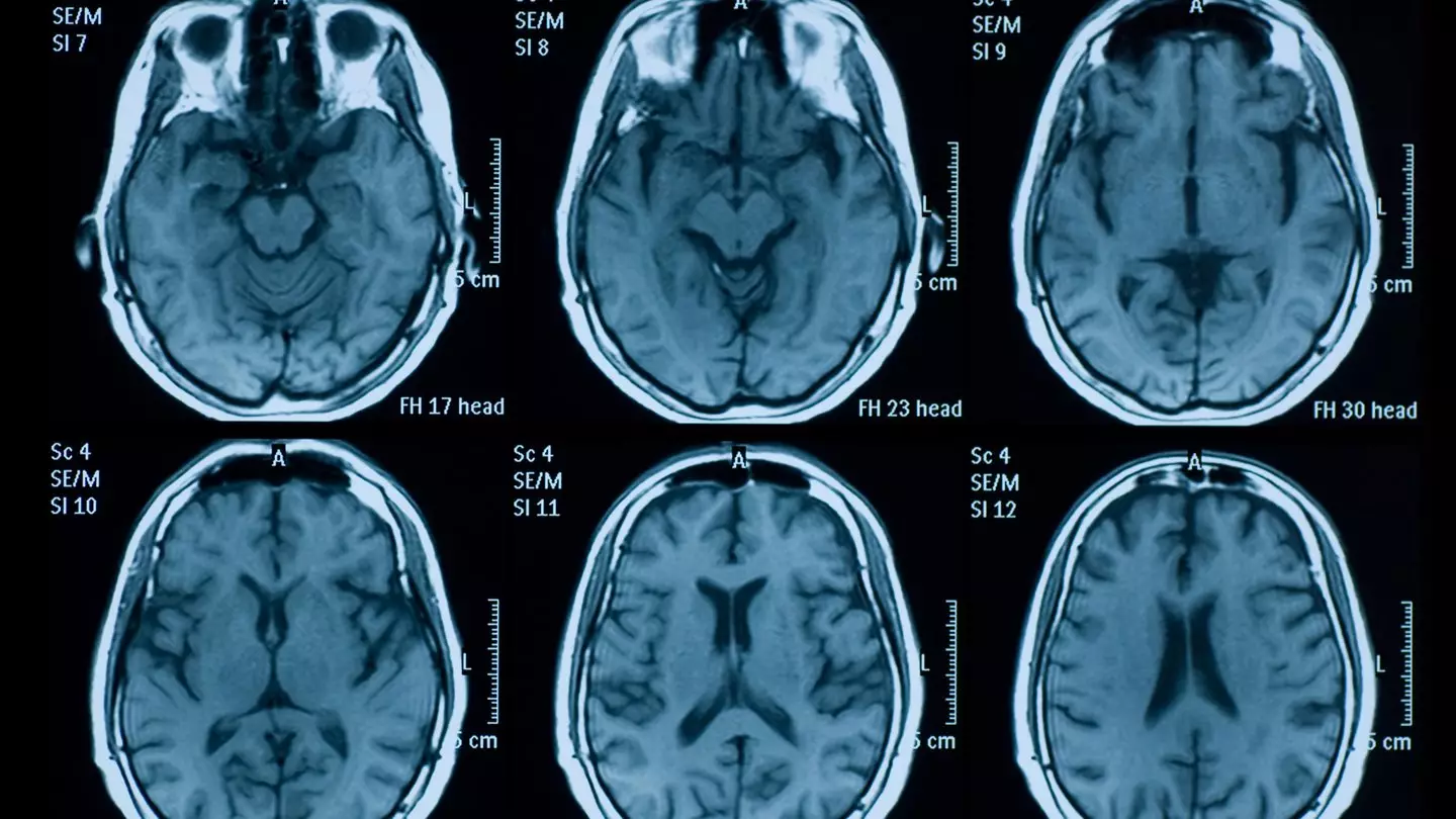
The National Institutes of Health explains that the choroid plexus is a collection of blood vessels in the ventricles of the brain that produce cerebrospinal fluid and act as a barrier.
Cerebrospinal fluid is like a built-in cushion for your brain and spinal cord, keeping them safe from bumps and bruises.
It also acts as a delivery and cleanup service, bringing in essential nutrients while hauling away waste.
However, new research suggests that long Covid might be disrupting this system in a way that could signal future brain health issues.
A study recently published in the journal Alzheimer’s & Dementia looked at 86 long Covid patients with neurological symptoms, comparing them to 67 people who fully recovered from Covid and 26 healthy people who were never infected.
The researchers discovered that those struggling with long Covid had a choroid plexus that was 10 percent larger than those who recovered quickly.

This was a pretty important discovery because a swollen choroid plexus is a sign of long-term brain inflammation and wear-and-tear, and is linked to the same biomarkers found in people developing Alzheimer’s.
In fact, Dr Ge, one of the researchers, pointed out that this physical change could be an 'early warning sign' of future cognitive decline.
The study also found that patients with this larger brain structure scored about 2 percent lower on a standard 30-point memory and thinking test.
The researchers believe that long Covid might be causing ongoing inflammation that actually thickens the blood vessels in this part of the brain, potentially leading to these long-term symptoms.
Speaking to the New York Post, De Ge explained: "It is currently unknown whether these changes are reversible. We are actively analysing their follow-up data to address this question."
If you've been affected by dementia or Alzheimer's and would like to speak with someone in confidence, contact the Alzheimer’s Society via 0333 150 3456 or visit their website for more information.
Topics: Coronavirus, Covid-19, Health, Life, Mental Health, News, Science