
We all know the risks of cancer caused by smoking by now, but researchers have found that vaping is a 'likely' cause for two types in particular.
Many people have long claimed that vaping is much better for you, but new research by Australian scientists seems to say that's not the case.
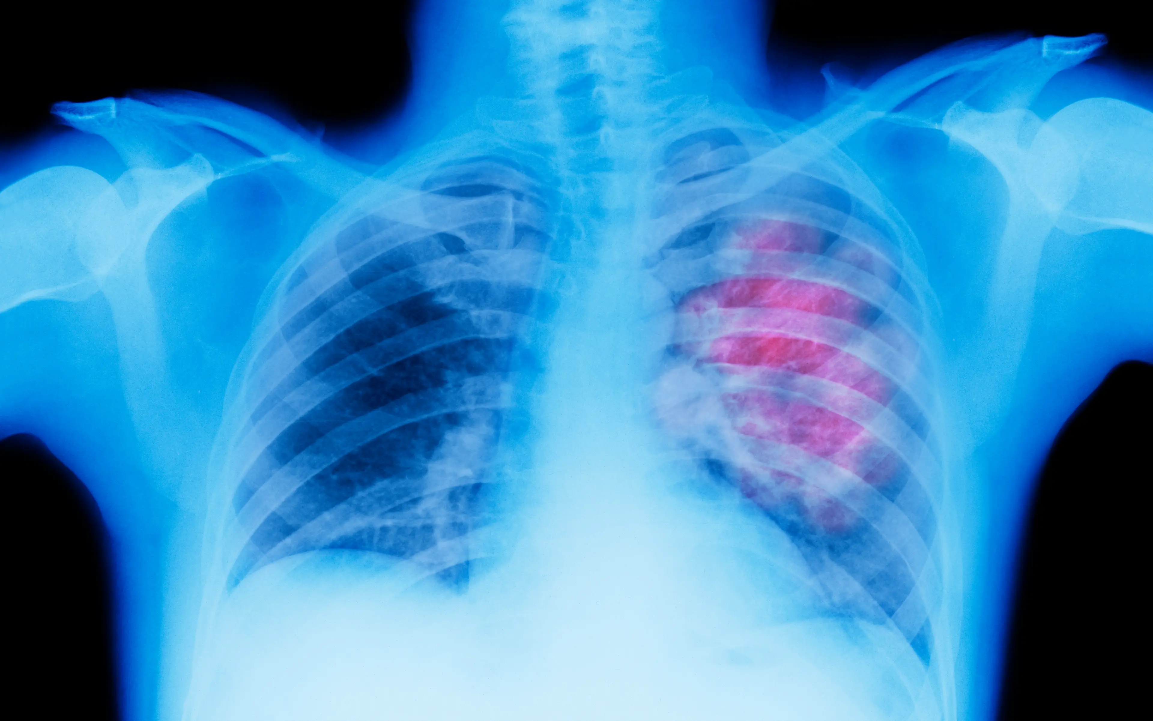
There have been many well-documented instances of people developing conditions like 'popcorn lung', or suffering from breathing difficulties after heavy vape use, but these researchers wanted to see if there is a link to cancer.
They are calling on regulators to step in to help people quit, following their finding that there is a 'likely' cause of oral and lung cancers.
Advert
Experts are now encouraging the regulatory bodies to protect people now rather than waiting for decades, especially in the case of children.

Cancer researchers teamed up with the University of New South Wales in Sydney for the project.
They worked together to look at the available data to see if nicotine e-cigarettes and vapes were a risk.
Co-author Adjunct Prof Bernard Stewart said there are early warning signs for future cancers, with detectable DNA damage and inflammation.
Their findings were published in a journal called Carcinogenesis.
“There is no doubt that the cells and tissues of the oral cavity, the mouth and the lungs are altered by inhalation from e-cigarettes,” the expert said.
They did say that because many vapers have either smoked previously or currently, it can be difficult to distinguish whether the damage was attributable to the vaping or the tobacco.
The study did reveal that dentists were starting to find an increasing number of people with oral cancers who had never smoked and only vaped.

“On the basis of all of that knowledge … we determined e-cigarettes are likely to cause lung cancer and oral cancer, though we cannot say how great that burden will be,” he said.
Associate Prof Freddy Sitas was the lead author of the study, and he notes that it took almost 100 years of evidence before it was declared that smoking caused lung cancer, and they do not want the same delay to happen again.
“We risk repeating that same fate with vaping if we don’t take emerging research and warning signs seriously," warned Calvin Cochran, who is a research fellow at the University of Otago’s Department of Public Health in New Zealand
“Every study like this should be considered seriously by policymakers, government’s and health organisations. There is likely going to be no planting the flag moment where we can conclusively say vaping causes x,y,z types of cancer. That is years and most probably decades away.”

Professor Sitas added: “We’ve always assumed that vapes are safer than cigarettes, but you know, what we’re showing is that they might not be safe after all. We have no conclusive way in which to get people off the vapes.
“So in smoking, we’ve got ways in nicotine gum, various drugs that we can give people to stop them from smoking. The evidence regarding people stopping vaping is very inconclusive.”
“What is important is that regulators have at their disposal the full spectrum of evidence,” he added.
He insists that people should not be advised that vaping is better than smoking.
“It’s not an alternative to smoking … It’s not an alternative to anything in the context of being safer, it is dangerous, and that’s the message,” he said.