
Topics: Health, Life, Taylor Swift, Mental Health
A 24-year-old woman was diagnosed with a rare condition after symptoms arose from an unlikely place: Taylor Swift lyrics.
Hannah-Ireland Durando, from Winston-Salem, North Carolina, was a self-confessed ‘party animal’ but woke up one morning in February 2024 feeling ‘emotionless and empty’.
After experiencing frequent headaches and ‘bed-rotting’ - lying in bed for days at a time – she went to see a doctor the following month, only to be told it was something ‘normal for women’ that would worsen as she got older.
The aspiring actor and costume designer said: "I woke up one morning and had no zest for life.
Advert
"I used to be really outgoing, a Marvel fan, and a huge nerd who would have movie nights with my friends.
"But nothing made me excited.
"There would be periods where I just 'rot' in bed, which was unlike me.”
Durando, who was already on anti-anxiety medication and was considering upping the dose to get back to ‘normal’, found she 'couldn't be bothered’ to even plan her own wedding, while none of her clothes fit anymore.

She added: "I even forgot the lyrics to my favourite Taylor Swift song, ‘Haunted (Taylor's Version)’.
"I was in the car driving to work, singing along, and then my head went blank when it came to the chorus.”
Then in August that year, Durando went back to the doctor after collapsing at work.
"I was in the office when I felt a stabbing pain in my left ear and my vision went yellow," she said.
"I felt like I was being strangled; that was when I hit the floor."
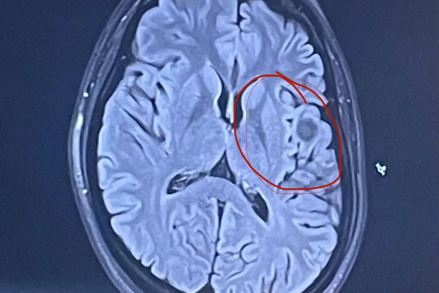
A CT scan revealed a growth the size of a golf ball on the left frontal lobe, the part of the brain that is responsible for behaviour.
Durando was eventually diagnosed with a non-cancerous cavernoma, which is a cluster of abnormal blood vessels.
Because of its location, she cannot have surgery as it could compromise her speech and behaviour, meaning every three months she has scans to monitor the growth.
"The doctors thought it was an aneurysm at first because I was haemorrhaging," she said.
"There was a lot of confusion and when I got my diagnosis, my first thought was that I was going to die.
"I was told I had to live carefully from now on."

Because of her previous bleed, Durando is now four-to-25 percent more likely to have another haemorrhage and fears having a stroke.
She now wears a migraine cap to wash herself and help soothe the pain of her headaches, and ‘sedates’ herself to sleep with baclofen every night, as this is when the pain feels ‘worse’.
"My life changed so much in just six months," Durando said.
"I live in fear and uncertainty, as I could have a stroke at any time, develop slurred speech, or forget most things.
"My family and partner, Tyler, 24, a baseball coach, have been incredibly supportive and patient with me.
"I just wish I had said something sooner and that I wasn't ignored.
"I hope no one has to experience what I've gone through and that it inspires more women to advocate for themselves."