
Topics: Health, World News, Vaping
A New Zealander who vaped to ‘relieve stress’ has spoken out after being hospitalised with a collapsed lung, revealing he now has to get special permission from doctors to do certain things.
According to Action on Smoking and Health (ASH), 5.5 to 5.6 million adults in the UK currently vape. As for why people may decide to take up vaping, it could be because they are ex-smokers or have picked up the habit through their friends.
20-year-old Kyan Soutar-Evans, who has been vaping since he was 15, said he started because the ‘tricks’ his friends were doing with the device looked ‘cool’.
“It was so stupid,” he reflected. “Then I realised how good the sensation of breathing it in felt, and how much it relieved my stress.”
Advert
Whilst underage, the New Zealand native would get the older siblings of his friends to purchase the e-cigarettes for him. Eventually, it turned into a fully-blown addiction, causing him to spend £320 per month on vaping.

After using it as a ‘stress relief’ method for two years, the man moved to Australia, kicked the habit, and took up smoking cigarettes instead.
After 10 months in Oz, the factory worker returned home, and his vaping addiction came back with vengeance.
Admitting he was ‘struggling to breathe’ at this point, he headed on a trip to Auckland with his dad. It was here that he began to feel sharp pains in his chest.
“I thought it was going to be something that just passed, so I left it for an hour or two, until I got home and went to lie down on my bed,” he recounted.
READ MORE:
WORRYING 'NIC-SICK' SIDE EFFECT OF VAPING AND SMOKING THAT CAN BE FATAL
SYMPTOMS OF EVALI THAT EVERY VAPING ADDICT NEEDS TO BE AWARE OF
“By this point, my chest was very, very sore, and I started getting shortness of breath. I realised it might be something serious, so I went to the doctors, and they told me to go to the hospital.”
Experts informed Soutar-Evans - who was purchasing 10,000 puff vapes for £20 a pop at this stage - that he was in an ‘emergency state’.
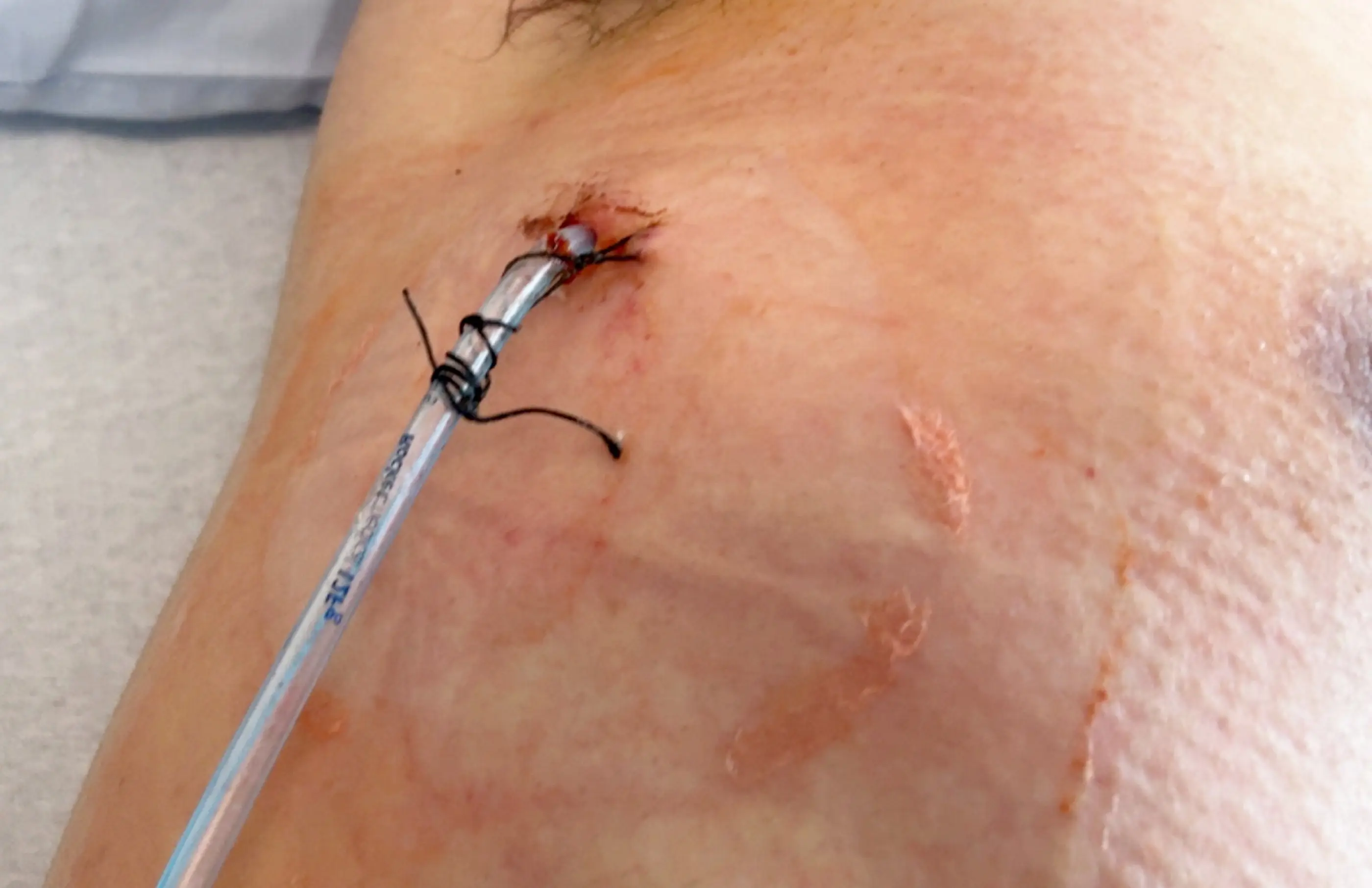
Eight hours after arrival, he was ‘dosed up with fentanyl to relieve all the pain’ and was put on oxygen overnight. The following day, doctors told the vaper that his lung had collapsed inside his chest and that it was ‘trapped there’.

“Since all the air was trapped outside my lung, it was stopping my lung from expanding, because the air was pushing it down and crushing it into a ball," he said.
“It wasn’t a pleasant feeling at all, but once they put the tube in, all the air that was in my chest escaped, allowing my lung to expand.”
For 11 of the 12 days, Soutar-Evans had a tube inflating his lung - a procedure which he is ‘expected to make a full recovery from’.
“Doctors didn’t give me a clear answer on what caused my lung to collapse; they said it was how my body was built, but that vaping pushed it over the edge,” he said.
Because of his collapsed lung, the young adult has to get approval from a doctor if he wants to travel by air.
“The pressure of the air could actually crush my lung again, so I have to be really careful,” he explained. “It’s the same with diving, the pressure of the water could crush my lung and make me suffocate.”
While he wants to 'start vaping again', he said he is 'scared after what’s happened to me', so he is trying to kick the habit.
"I’m getting a lot of regrets, I strongly recommend people to stop vaping.” he added.