
Health experts claim some people with Multiple Sclerosis (MS) have previously complained of having ‘awkward’ episodes, leaving them with crippling embarrassment and overwhelming anxiety.
MS, the autoimmune disease, was first defined by the famous French neurologist Jean-Martin Charcot in 1868.
Since then, research has advanced leaps and bounds, with doctors often able to offer early diagnosis due to common symptoms like losing the ability to walk and becoming off-balance while standing being well-documented.
However, there is another lesser-known symptom that affects both women and men equally.
Advert
But what is MS in the first place?
Well, it's defined by The National Multiple Sclerosis Society as an ‘unpredictable disease’ that attacks the central nervous system - including your brain, spinal cord, and optic nerves.
The chronic illness is thought to be both a neurological and an autoimmune disorder. It can cause people to lose the ability to write and speak, as well as cause problems with muscle movement and balance.

The MS Trust stated that more than 7,100 people are diagnosed with MS every year, or 135 per week.
Some famous faces living with the condition include Dead to Me’s Christina Applegate, Jack Osbourne, and Legally Blonde actress Selma Blair.
Laughing uncontrollably due to MS
Something a lot of people living with MS experience is something called the pseudobulbar affect (PBA).
This condition leads to sudden and uncontrollable episodes of laughter, crying, or even anger that do not match your current mental state.
The National Multiple Sclerosis Society confirmed that PBA affects approximately 10 percent of people with MS, with it being equally common among men and women.
Meanwhile, the Cleveland Clinic wrote that episodes can last longer than you would usually expect, and that they can cause extreme embarrassment and anxiety, often leading to withdrawal and social isolation.
Why MS causes uncontrollable laughter

Unfortunately, researchers do not know the exact cause of the neuropsychiatric syndrome.
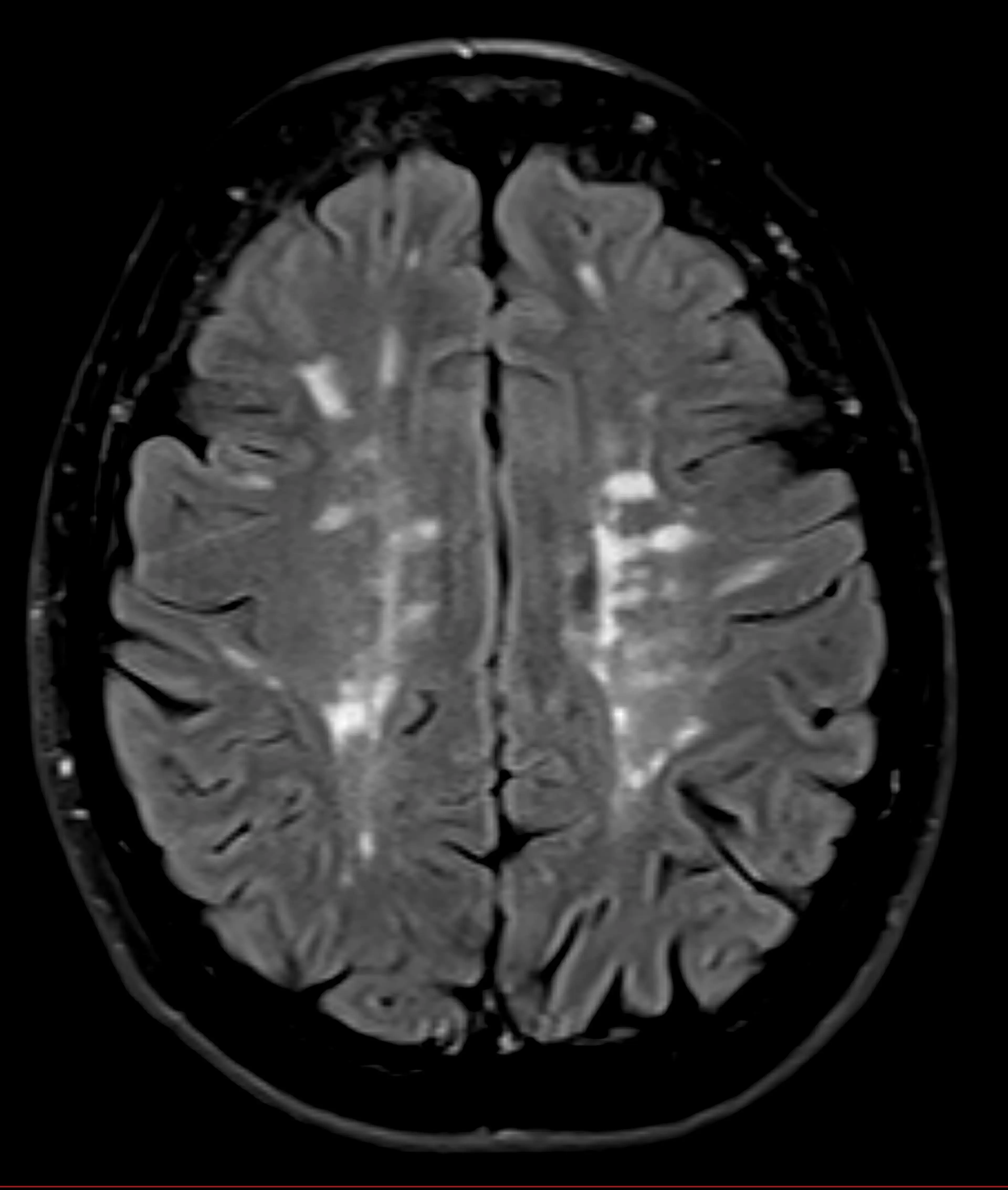
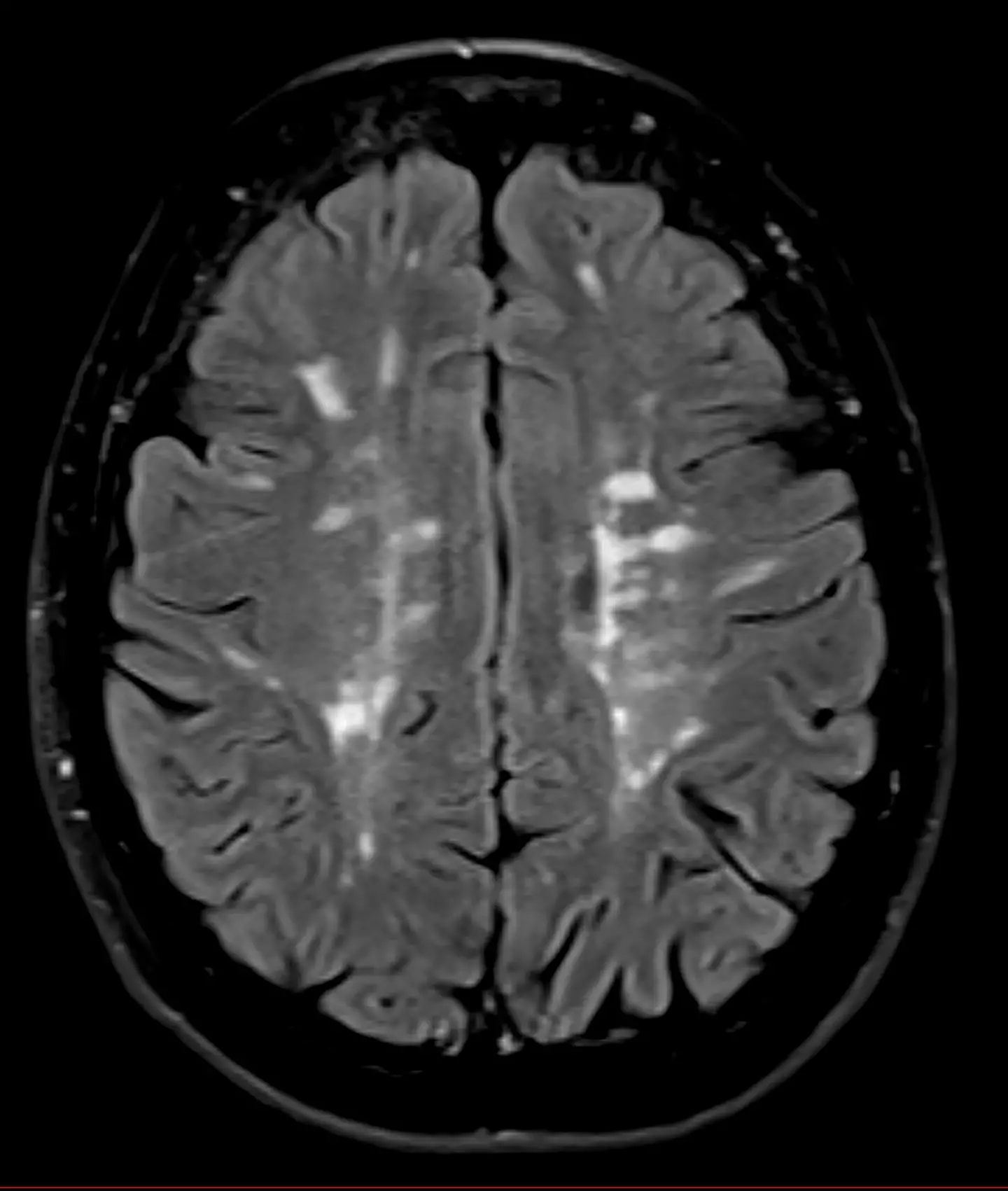
However, things like traumatic brain injuries, Wilson’s disease, and strokes have all been associated with episodes of uncontrollable laughter. The Multiple Sclerosis Association of America believes that MS lesions affect the areas of the brain which control emotions - causing the awkward behaviour.
"This type of emotional behaviour is difficult to control voluntarily and can be extremely distressing to those who experience it," experts at the charity explain.
"Although there may be a minor trigger for the laughing or crying, the response is exaggerated and is disproportionate to the apparent trigger."
Other symptoms of MS
Everyone with MS is affected differently, but there are a handful of common symptoms related to the condition.
These include feeling extremely tired, feeling off-balance, dizzy or clumsy, suffering from muscle cramps, spasms and/or stiffness, and problems with memory or concentration, as per the NHS.
You may also experience strange skin sensations akin to painful ‘electric shocks’, pins and needles, buzzing or burning.
Some other people with MS have also reported slower thinking, sexual problems, including a dry vagina, and the need to pee more often, or not being able to control when you pee.