
Topics: News, Science, Technology, Health, Real Life

Topics: News, Science, Technology, Health, Real Life
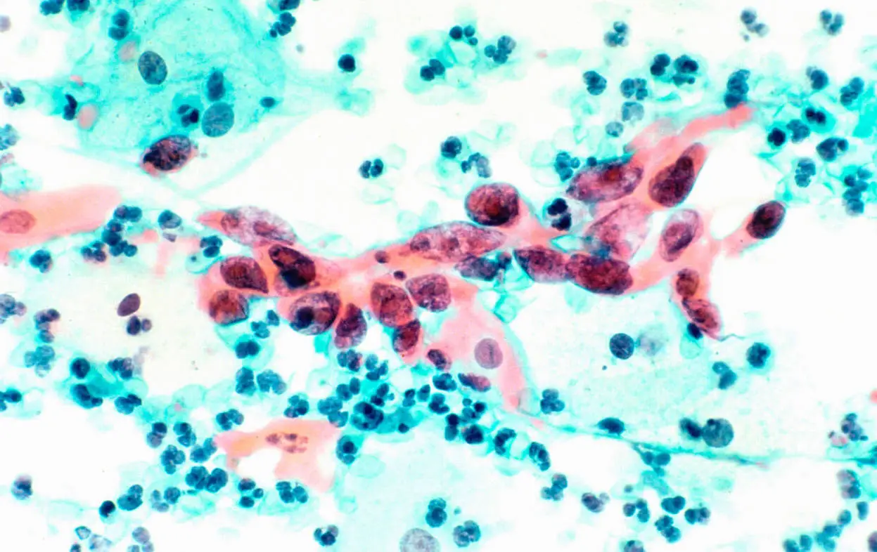
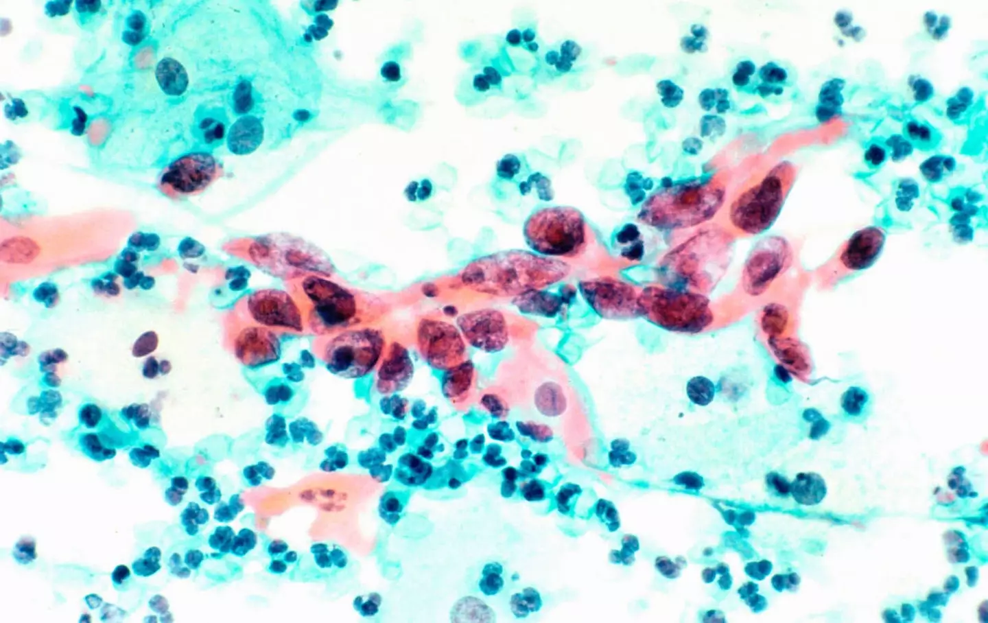
A more accurate predictive test for cervical cancer has been developed.
Scientists have said that the ground-breaking test can more accurately look for cell changes that could lead to cervical cancer.
The test was created by UCL and Innsbruck University and also detects DNA markers for other common cancers, like breast, womb, and ovarian.

Advert
It's an incredible achievement and one that will help in the vital early detection of cervical cancer.
For instance, in those with no cell changes but who have the human papillomavirus (HPV), the new test was able to spot that 55 percent would have cell changes in the next four years.
HPV is the virus associated with most cervical cancer cases and is what we had jabs for in school.
The incredible test is more accurate than those previously developed, with findings being published in the Genome Medicine journal.
As the team behind the new test note, screening is fundamental to proper care: "Cervical cancer screening has been the most successful personalised cancer prevention strategy to date; the screening aims to identify women with a pre-invasive lesion, which is then surgically excised."

And while normal screening procedures were working fine, the new method – which analyses DNA – looks to be more accurate: "We, along with others, have shown the feasibility of utilising DNA methylation (DNAme) markers to identify women with pre-invasive or invasive cancers."
Of course, the new test will have to be compared to those that currently exist in real-time, to see how feasible it is to roll out on a large scale: "Planned large-scale future studies prospectively evaluating the use of WID tests (either array- or PCR-based) side by side with the current standard of care will provide evidence of their performance in real-world settings," the scientists behind the study noted.

Still, their findings will have a major impact on the early detection of cervical cancer, with Athena Lamnisos, the chief of Eve Appeal, a charity that funds research into gynaecological cancer prevention, calling the test 'great news'.
"This new method is more specific and doesn’t lead to over-treatment, which is good news for cervical cancer prevention and great news for everyone who needs to be screened.
"It’s so welcome to see screening tools and predictive tests becoming more effective. We want to prevent cancer – and we know with cervical cancer that we can intervene at an early stage."
If you’ve been affected by any of these issues and want to speak to someone in confidence, contact Macmillan’s Cancer Support Line on 0808 808 00 00, 8am–8pm seven days a week