
Breakdancing has spun its way into the mainstream, even landing a spot in the 2024 Olympics. But while the moves may look cool, there are hidden risks for the dancers involved.
As the sport gains popularity worldwide, it’s important to be aware of some of the lesser-known dangers that come with performing the physically demanding moves.
Despite the excitement surrounding breakdancing’s rise, researchers in Denmark have discovered a risk associated with one of its most iconic moves—the headspin.
This risky move has led to a unique overuse injury, now known as the 'headspin hole'.
Advert
This condition is caused by the repetitive pressure dancers apply to their scalps during headspins.

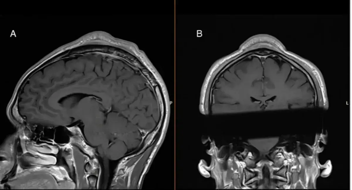
One particular case was posted online, showing an MRI image of a breakdancer who developed a 'headspin hole' after years of performing the move.
The image quickly went viral on X (formerly Twitter), reaching over 115,000 views as users reacted to the protruding bump visible on the dancer's head.
Danish researchers first published the case in a clinical report in the British Journal of Medicine (BMJ) on 10 October 2024, confirming the diagnosis of the headspin hole.
The study revealed that the injury manifests as a fibrous mass on the scalp, accompanied by hair loss and tenderness.
The case involved a male breakdancer in his early 30s who had been dancing for nearly two decades.
Over the last five years, however, the dancer noticed a significant bump forming on his scalp, which he thought was due to his intense headspin training.

The dancer revealed that he practiced breakdancing five times a week for roughly 90 minutes per session, spending anywhere from two to seven minutes placing direct pressure on his head during headspins.
Although he had been aware of the bump for years, and even though it was growing in size and becoming more tender, he continued to perform without seeking medical advice.
MRI scans revealed thickening in the subcutis, the deepest layer of skin, which led to the formation of a noticeable 'cone-head' shape at the top of his scalp.
Thankfully, after years of ignoring the problem, the dancer did eventually seek medical help and underwent successful surgery to remove the fibrous mass.
The procedure not only improved the appearance of the bump, but also provided relief from the discomfort he had been experiencing.
Although breakdancing had only debuted this year at the Olympics, it was revealed that it will be scrapped altogether for the next games. The decision was actually made before this summer's Olympics had even kicked off.