
A mum's life has been turned upside down after what she thought was just a 'sore throat' turned out to be cancer.
Lisa Gooddy, from Stockport, Greater Manchester, noticed a few white patches on her tonsils back in 2019, and went to her GP to get it checked out.
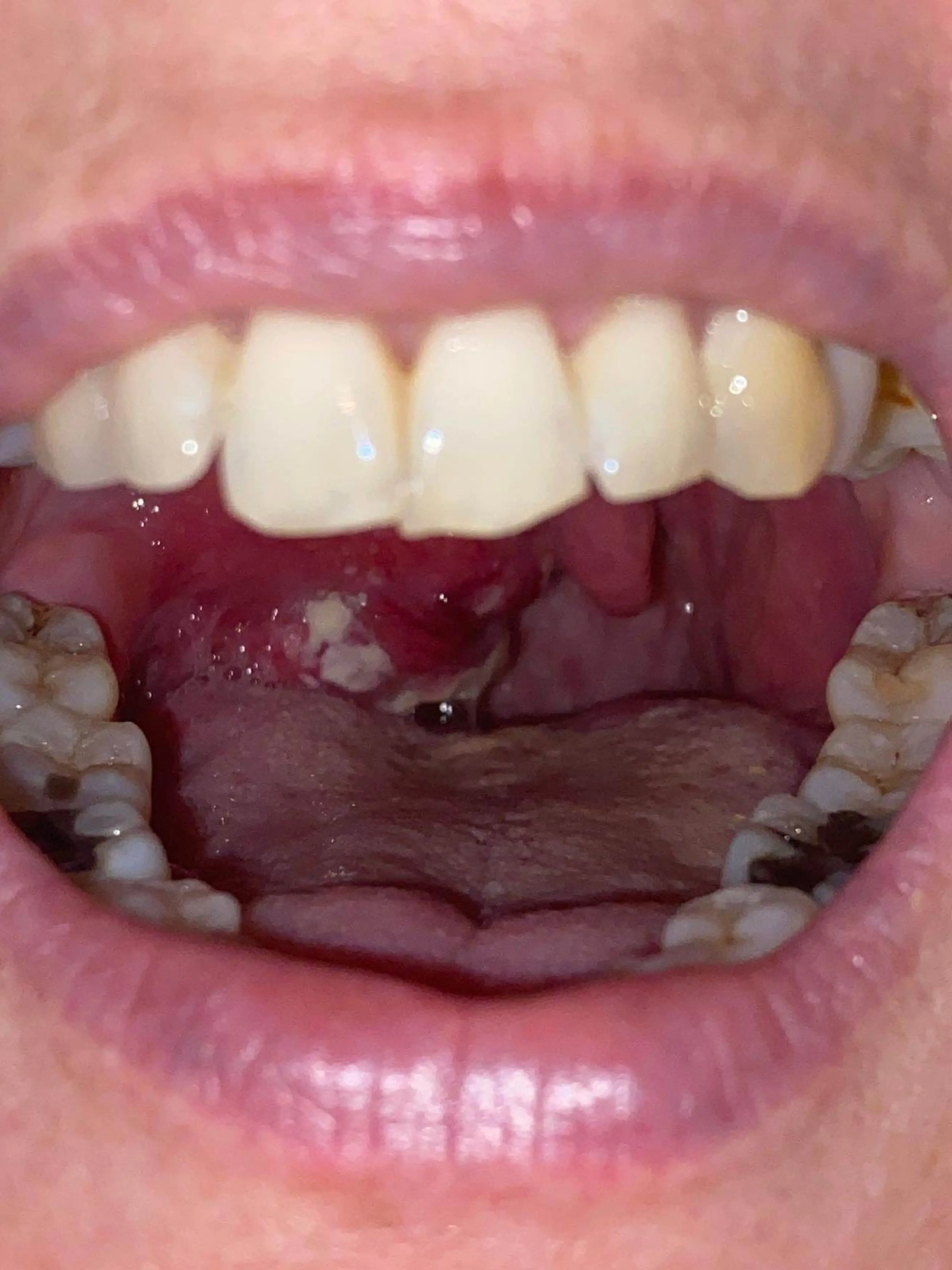
However, the 51-year-old was told that it was just something called tonsil stones, which are small lumps that form on the tonsils.
"I regularly go to the dentist so I think because I said. 'Oh yeah, I've always had large tonsils', maybe it was taken for granted and they thought, 'Oh, she's just got a large tonsil'," she recalled.
Advert
"Nobody thought they should investigate further'.

"I used to suffer quite a lot with my throat and tonsils so I went to the doctors a long time ago, about 12 months before [diagnosis] and told them I was having trouble with my throat.
"There was a white patch on my tonsil and I've had tonsil stones in the past but unfortunately I wasn't referred at that point as they thought it was tonsil stones."
A year later, though, Lisa began to notice that her voice felt tired, so went back to her doctor and was referred to a specialist.
And in December 2020, the customer support assistant was given the devastating news that she had T2 tonsil cancer.
Lisa was told by the doctor that the disease had also spread to her soft palate and lymph nodes in her neck.
"I think the hardest thing is telling people and your family," Lisa said. "I think the person with it just thinks, 'OK, let's get on with this now'.

"Don't get me wrong - you're devastated, but you're like, 'Can it be treated? What can we do?'"
She underwent rounds of chemotherapy and radiotherapy, which saw the skin on her neck become inflamed and sore, and destroyed her saliva glands, leaving her with a constant dry mouth.
Lisa now has to carry around a drink and takes tablets which moisturise her mouth.
"Somebody said that it's actually like you think about your mouth or skin being microwaved, basically that's what's happening," she said.
"It affects so many things - if I'm going out, say to a restaurant, there potentially could be nothing on the menu that I could eat because I can't have pepper.

"The food I eat has to be like slop on a plate. It's very, very limited, I don't eat for pleasure anymore, I eat because I have to."
But last June, Lisa finally received the all clear, and is now trying to raise awareness of the disease so that other people don't wait as long as she did for a diagnosis.
Lisa said: "Check your mouth - it's a cancer that people don't seem to know about and it takes two minutes to check your mouth, throat and neck for any changes."