
Christina Applegate was diagnosed with multiple sclerosis (MS) in the summer of 2021 while working the third and final season of Netflix's Dead To Me.
MS affects the brain and spinal cord, causing a wide range of potential symptoms, including problems with vision, arm or leg movement and balance. It is a lifelong condition that cannot be cured, according to the NHS.
Since her diagnosis, the 53-year-old has been candid about what it's like living with the condition.
Speaking to Vanity Fair, the Anchorman actress said: "This is a progressive disease. I don't know if I'm going to get worse. With the disease of MS, it's never a good day. You just have little sh***y days.
"There are just certain things that people take for granted in their lives that I took for granted. Going down the stairs, carrying things - you can't do that anymore. It f***ing sucks."
Advert
And, in an interview on SiriusXM's This Life of Mine with James Corden last year, Applegate discussed the weird symptoms she'd noticed prior to her MS diagnosis, which included balance issues, speech issues, shaky hands, feeling weak at the knees (when walking, etc) and numb toes.

Of course, these symptoms aren't just specific to the condition and can be easy to shrug off as something else.
Julie Fiol, registered nurse and associate vice president of clinical innovation and strategy for the National MS Society, told Fortune: "If you have some numbness and tingling sensation, maybe in your hands, maybe in your arms or legs or in your face, it’s more of just a nuisance. Maybe it’s those new yoga poses I’ve been trying. Maybe it’s that new office chair I’ve been sitting in that’s causing that tingling sensation going down my leg."
Advert
Unfortunately for Applegate, they were a sign of something a lot more serious.
She explained: "Things just started to get weirder and weirder, and before I knew it, we were about to start shooting the last season of Dead To Me and by this time I was like, 'You guys, I can't even walk up the steps to my trailer.'"

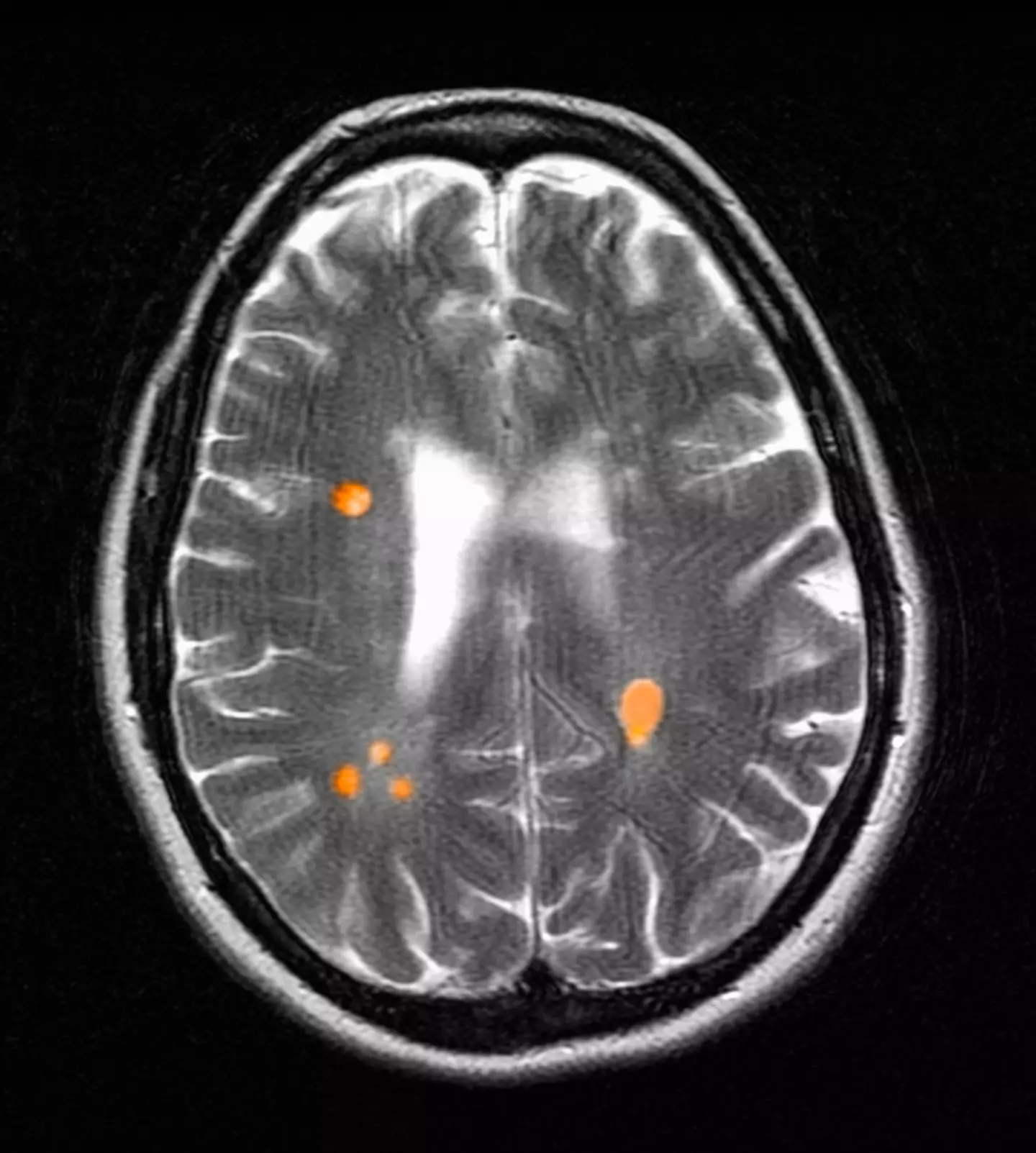
The actress was then sent for an MRI scan to check out what the cause could be.
Advert
Following her MS diagnosis, production on Dead To Me shut down so she could receive treatment, but Applegate noted there was no getting 'better' for her.
There's currently no cure for MS, though treatments can help control the condition and ease symptoms.
"There was the sense of, 'Well, let’s get her some medicine so she can get better,'" Applegate said. "And there is no better. But it was good for me. I needed to process my loss of my life, my loss of that part of me. So I needed that time."
Topics: Celebrity, Christina Applegate, Health