
Hollywood superstar Christina Applegate has been raising awareness of the earliest signs and symptoms of multiple sclerosis since August 2021, when she was diagnosed with the lifelong condition.
Applegate received the life-shattering MS diagnosis while filming the final series of her Netflix hit series Dead to Me, which heavily affected her ability to perform on set.
As a consequence, the former Friends star - who famously played Rachel Green's spoiled little sister Amy on the 90s sitcom - was forced to pull the plug on her acting career as a result of the unsparing disease, which affects the brain and spinal cord.
Despite telling press earlier this year that she would likely no longer act on camera as a result of her diagnosis, she has since used her platform to raise awareness.
Advert
In fact, one of most courageous admissions that Applegate has since made, is that she missed some of the earlier symptoms of the condition.
Having put symptoms like fatigue and anxiety down to other factors - such as a busy working schedule or personal life issues - she never thought to get checked out by medical professionals until it was too late.

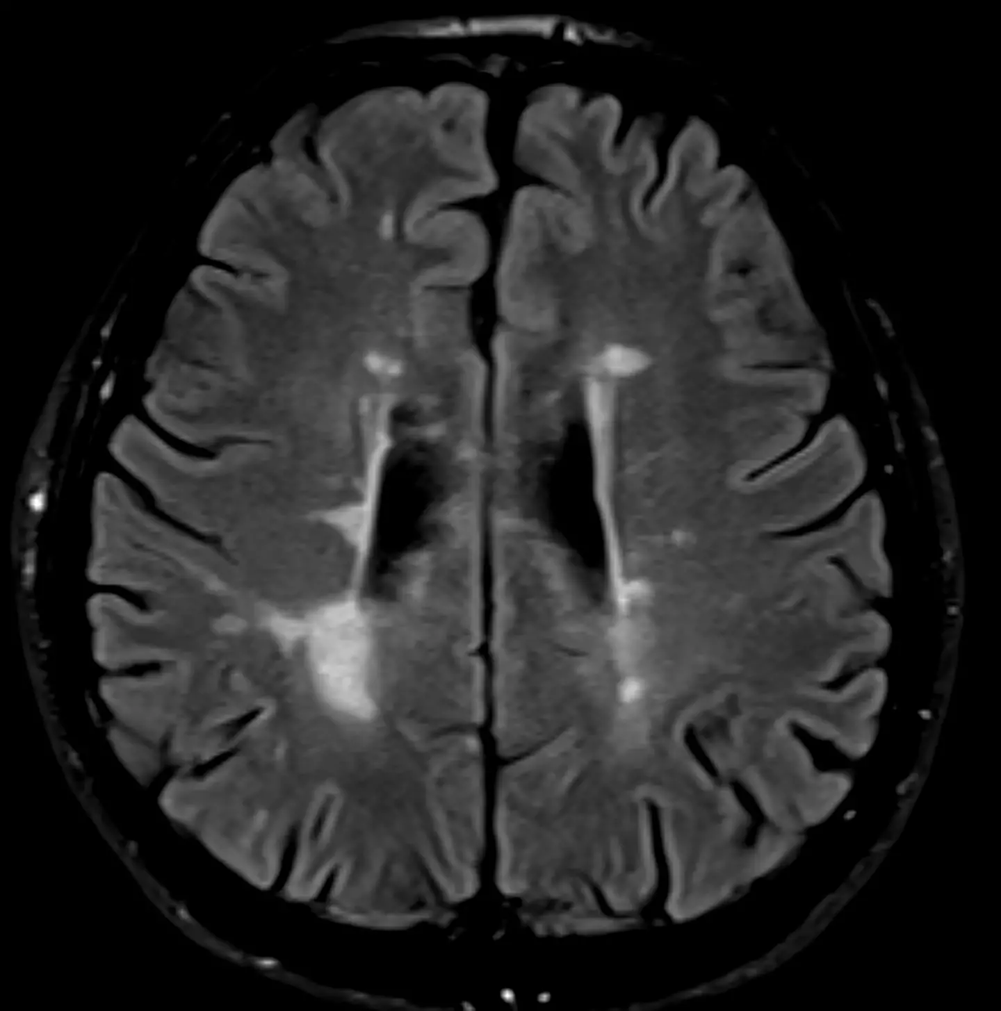
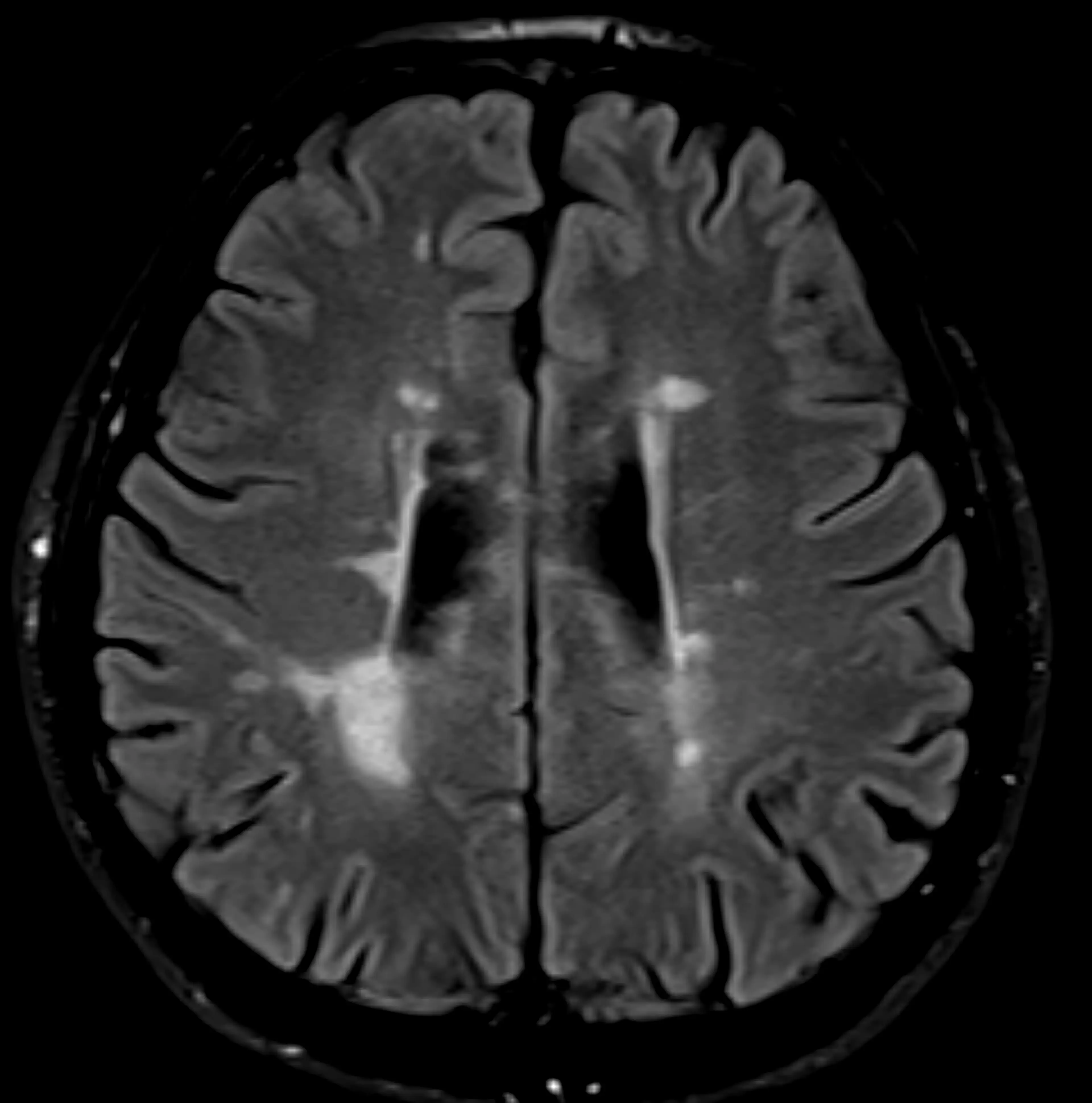
The disease is caused by your immune system attacking the brain and nerves for a reason that remains unknown, meaning it cannot be cured (though medicines and other treatments can help ease symptoms).
Advert
So, what exactly are the symptoms that Applegate is urging her fans not to miss?
Well, according to neurologist Dr. Paige Sutton, it is most important to look out for signs of a new inflammatory relapse.
"Relapses are typically very obvious and would include new neurologic symptoms that are constant and last for more than 24 hours," she explains.
"Symptoms could include loss of vision/blurry vision in one eye, unilateral facial pain or numbness, vertigo, new weakness or sensory changes on one side or in both legs, or with walking."
Advert

In Anchorman actor Applegate's case, she later revealed that she's struggled with her balance while filming a dancing scene on her Netflix thriller.
She also noticed her tennis skills - which were usually impressive - were slipping, but she put this down to slacking on training.
Dr Sutton - who specialises in neuroimmunology and multiple sclerosis for OhioHealth - also emphasised the risk of a 'pseudo-relapse' happening when the body is placed under stress, which in turn causes symptoms to worsen.
Advert
These 'pseudo-relapses' can be caused by things such as infection, lack of sleep, and emotional stress.
"It is important to consider a ‘pseudo-relapse’ as the cause of symptoms if they are symptoms that have previously occurred during a relapse," Sutton told press.

"We recommend that our patients notify their health provider for any new symptoms lasting more than 24 hours and we can help them determine whether it is something to be worried about."
Advert
Other neurologists believe that the likes of urinary tract infections (UTIs), bladder infections, depression and sexual problems could also indicate that someone is unknowingly suffering with MS.
"Of course, not everyone who has these symptoms will go on to develop MS," Dr Celine Louapre, of Sorbonne University in Paris, told press.
Experts seem to differ in opinion when it comes to movie star Applegate's assertion that, that the sooner a patient sees a medical professional about symptoms they believe could be MS, the better.
This is essentially because the disease has an unknown cause, and simultaneously has no cure.

Whilst it’s unclear as to whether Applegate’s diagnosis would have been improved if it occurred sooner, another sufferer of MS says finding out about their own diagnosis earlier made all the difference.
MS patient Angie Randall previously told press: "I was diagnosed with MS at the age of 29, shortly after I got married.
"I was devastated and fearful knowing I always wanted to have a family and children one day. I found a neurologist who helped me start treatment right away and supported my family-planning goals."
She went on: "In working closely with (my doctor), I was able to manage my MS and fulfill my dream of having children."