
A pregnant mum was diagnosed with an ‘incurable’ brain tumour after her headaches were dismissed for seven years.
Morgan Nottle, 25, was devastated when she received the bombshell news when she was 26 weeks pregnant.
She had been experiencing throbbing headaches for years, but claims doctors put the pain down to recurrent migraines.
It wasn’t until she was expecting her second child, Lilah, that her symptoms worsened, leaving her in so much pain that she could ‘barely walk’.
Advert
Morgan, who lives in Dartfort, Kent, said: "I've always suffered really badly with headaches for the last seven or eight years. They were so intense. But the doctors would always put them down to migraines and said it was nothing to worry about.

"Then when I got pregnant, the headaches got more intense. I'd had them for a few days and nothing was helping. I felt pressure in my head. It felt like my head was going to explode.
"I was in so much pain, I could barely walk. I thought it could be preeclampsia because I'd had it in my previous pregnancy, I just wanted to get it checked.
Advert
"They kept me in for two days and did an MRI scan then asked to talk to me in a private room. I knew it was something bad."
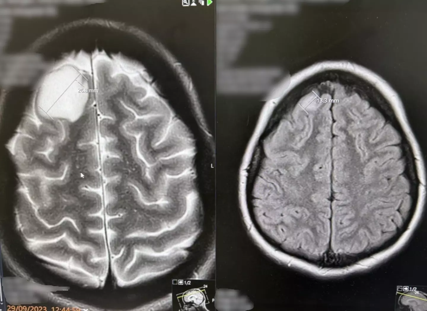
An MRI scan revealed she had an incurable brain tumour growing in her head, but was told she couldn’t begin treatment until her baby arrived.

Morgan, who is also mum to four-year-old George, continued: "When they told me I had a brain tumour, it was like I couldn't hear anything. It was awful.
Advert
"I was 26 weeks pregnant and was so worried about whether they wanted to bring the baby early. They kept saying 'we have to wait until the baby's born'.
"I was thinking the worst when I was given the diagnosis. I wanted another baby for such a long time and finally got pregnant then this happens.
"This wasn't how I wanted it to be. It was a constant worry."
After welcoming baby Lilah via a planned c-section at 37 weeks on 12 December, Morgan was told the following month that her tumour was ‘stable’.
Advert

However, after she began experiencing debilitating headaches again, doctors referred her for surgery, and she underwent a five-hour craniotomy operation to remove the brain tumour from the frontal lesion on 14 February.
Morgan, who is still awaiting the results of the surgery, said: "I'm still waiting to hear back about how much of the tumour they actually got out. They told me they weren't sure if they could remove all of it and the surgery would be complicated.
"They said it can keep coming back and eventually it will become more aggressive. It's just a case of managing it.
Advert
"I'm hoping they got the majority of it out. I feel frustrated it took this long for them to find it. If they'd just listened to me, I wouldn't be in the situation that I am now. But that doesn't help me now.

"I do think I might not see my babies grow up. It was so frustrating my symptoms were dismissed.
"I always say to people go and get checked if they have symptoms. You know your body."
Her friend, Chloe Jackson, has now launched a fundraiser to help for a dream holiday to Disneyland Paris for Morgan and her kids, having already racked up more than £1,000 in donations.