
Topics: Christmas, Health, NHS, Food and Drink
Christmas and New Year can be a time of indulgence, but experts are warning to be careful about a "silent killer" that can strike.
Chances are you're lining up plenty of rich food and boozy drinks over the next few days and weeks.
It's the time you're expected to party and eat things you normally wouldn't, but excess can cause a scary health problem.
Before opening that second bottle of fizz, experts are warning about a stealthy health condition that can be caused if we consume too much alcohol.
Advert
The condition is referred to casually as "holiday heart syndrome" because it tends to happen around special occasions.
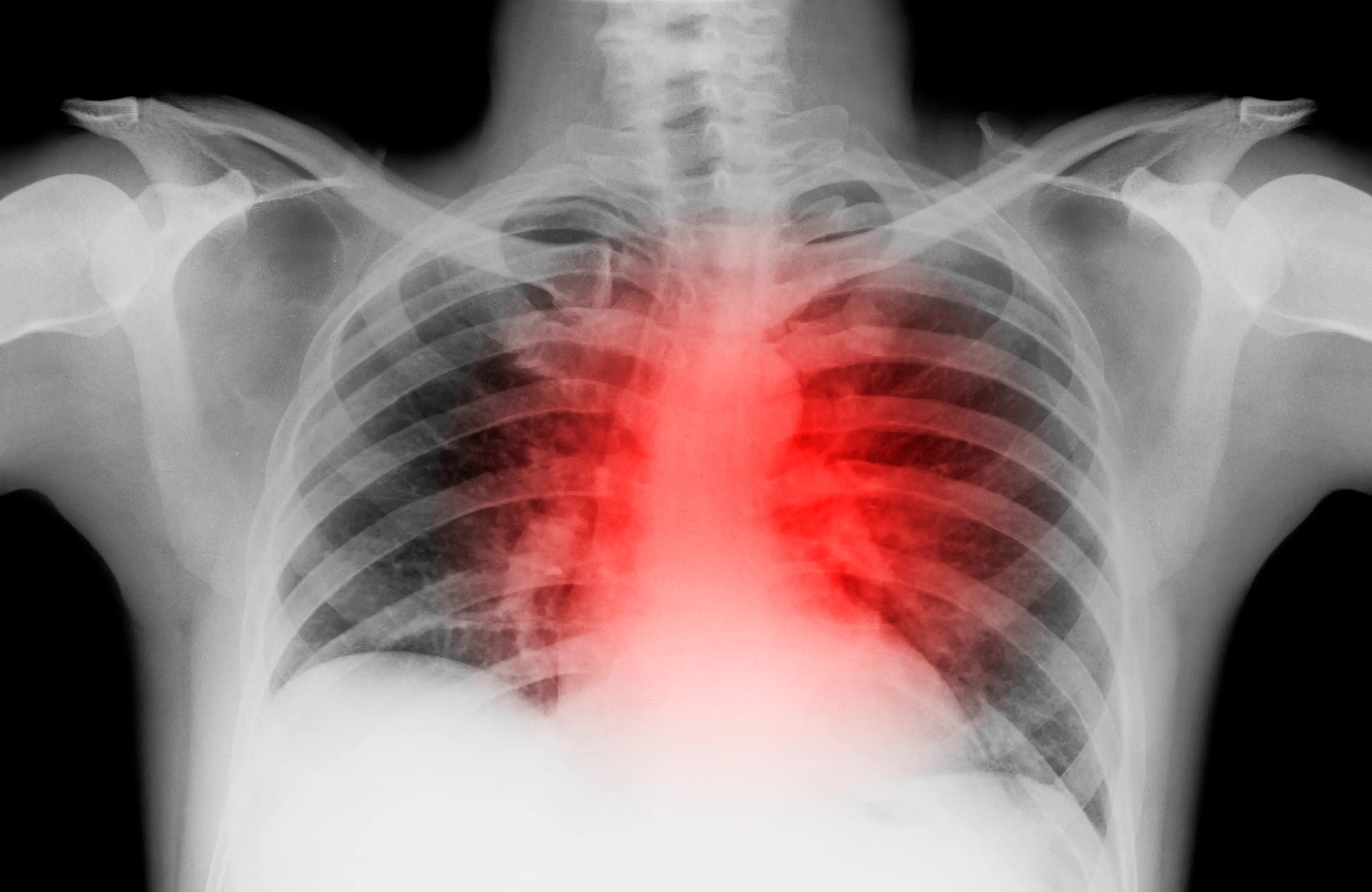
The full medical name for the condition is atrial fibrillation, and it can be caused by drinking too much alcohol.

According to the NHS website, atrial fibrillation (shortened to AFib) is where the sufferer experiences an irregular and abnormally fast heart rate.
It happens when the upper chambers of the heart don't work properly, leading them to start beating incorrectly.
AFib is frequently found in people who suffer from a different sort of heart condition.
These can include congenital heart disease, pericarditis and high blood pressure.
However, one of the main offenders is binge drinking, so if you think there might be an issue with your alcohol use it's something to keep in mind.
Not only that, but if you're lining up the coffees with irish cream, it might be worth thinking twice.
As well as the booze, it has been found that caffeine and fatty meals containing salt can also cause the problem.

Dr. Amir Lotfi of the Heart & Vascular Program at Baystate Medical Centre explained: "An unusually heavy meal such as one the holidays are known for, or at any time of the year, can put additional stress on the heart as your meal is digested, and overeating and over-drinking can increase your blood pressure and heart rate."
The so-called 'holiday heart syndrome' increases around Christmas time, both in part because of the free-flowing alcohol and unhealthy food, but it's also because people avoid going to the hospital.
After all, nobody wants to spend hours in A&E on Christmas or Boxing day.
However, if left untreated it can cause blood clots, as well as shortness of breath, fatigue and chest pain.
Dr Lotfi is especially worried by the idea that people put others first instead of their own need at Christmas: "All too often, people wait to decide to go to the emergency room because they don't want to ruin the holiday for others, putting them at risk for greater consequences," he warned.