
A heart condition often called a ‘silent killer’ because it can develop without noticeable symptoms for years.
Many of us are aware of heart attacks and strokes, but there is a lesser known cardiovascular disease that is just as dangerous.
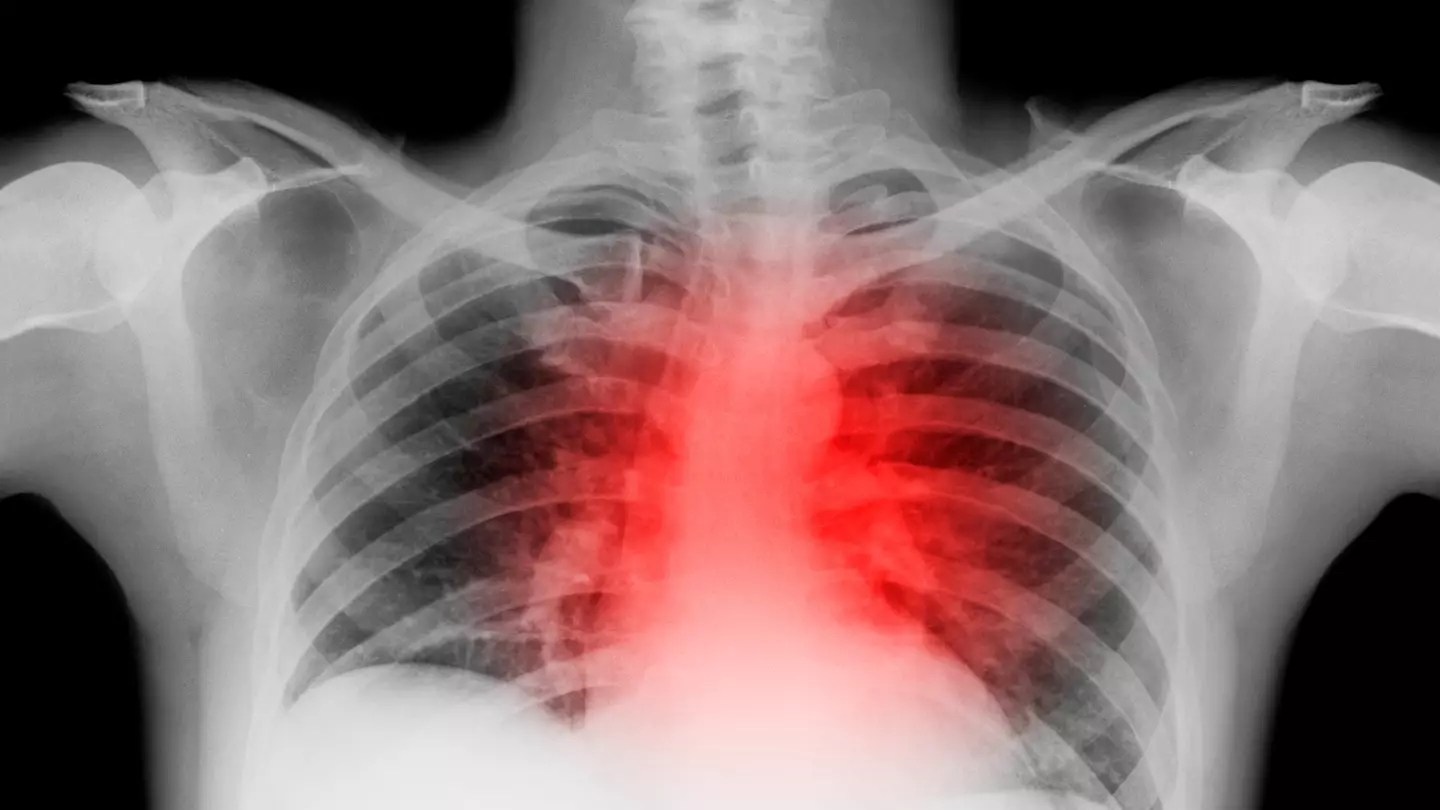
The disease is an aortic aneurysm, and they can be fatal. It is a bulge of the aorta, the largest blood vessel in the human body, that carries oxygenated blood away from the heart to the rest of the body.
An aortic aneurysm is a bulge in the aorta and there are two main types, based on their location along the aorta.
Where is the aorta?
The artery is located in the chest and abdomen, originating in the heart’s ventricle and extending upwards, forming an arch in the chest which descends through the chest and abdomen and into the abdomen.
Advert

What is an aneurysm?
An aneurysm is a bulge or ballooning in the wall of a blood vessel which can rupture that leads to bleeding. Thoracic aneurysms usually refer to aneurysms located in the chest, and abdominal aortic aneurysms (AAA) refer to the part of the aorta that runs towards the abdomen.
The most common type of aortic aneurysm is the infrarenal, and it occurs in the abdominal aorta below the kidneys.
Advert
The size that defines an aneurysm depends on where it is in the body.
In the chest area, an aortic aneurysm is diagnosed when the aorta measures more than 4.5 centimetres across.
In the abdominal area, it's considered an aneurysm if the diameter is more than 3 centimetres.

What are the risk factors?
Ruptured aortic aneurysms cause 5,000 deaths in the UK each year, according to the British Heart Foundation.
Advert
The exact cause of aneurysms is unknown, however, there are risk factors such as smoking. A bicuspid aortic valve, a common congenital heart defect, is also a risk factor.
You can reduce your risk with lifestyle changes such as giving up smoking, controlling blood pressure, and maintaining a healthy diet and regular exercise, although heavy lifting should be avoided.
Men are more at risk of developing abdominal aortic aneurysms than women, especially those over the age of 65.
Family history, high blood pressure, and high cholesterol are additional risk factors that affect both sexes.
Advert

Due to a lack of symptoms, many patients are unaware that they have them. However, doctors told the New York Post that patients are often referred to their Aortic Center for other reasons, such as palpitations, a murmur, or a cough that didn’t go away, which eventually led to the diagnosis.
If you feel a stabbing sensation in your chest or severe abdominal pain, call emergency services. If you or someone else has a sudden, severe pain in your abdomen or back, or you’re struggling to breathe, the NHS suggests calling 999.
Aortic aneurysms may be treated via open aortic surgery. The NHS says treatment usually depends on how big it is and if there are symptoms.
Advert
A small abdominal aortic aneurysm may be treated through lifestyle changes mentioned above to stop it getting bigger. Sometimes medicines may be prescribed to lower blood pressure and cholesterol levels.
If the abdominal aortic aneurysm is large (5.5cm or bigger), it may be be treated with surgery as it could be at risk of bursting.